Ésta es la palabra que nadie quiere oír en la consulta del dentista.
Las caries de desarrollan cuando los dientes se deterioran o se rompen.
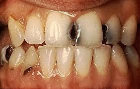
Una caries dental es un agujero que se hace en un diente y que, con el tiempo, puede hacerse más grande y profundo.
Si tienes una caries, es importante que vayas al dentista para que te la trate.
Pero, ¿por qué se hacen agujeros en los dientes?
La culpa la tiene la placa.
La placa dental es una sustancia pegajosa y viscosa compuesta principalmente por gérmenes que hacen que los dientes se deterioren.
Las bacterias que tienes en la boca fabrican ácidos, de modo que, cuando la placa se adhiere a tus dientes, los ácidos pueden atacar la parte más superficial de los dietes, llamada esmalte.
Si no vas al dentista, los ácidos se abrirán paso a través del esmalte dental, pasando a atacar y corroer las partes más internas del diente, que también se deteriorarán.
Si alguna vez has tenido dolor de muelas o has oído a algún adulto quejarse por ese motivo.
Podría ser porque la caries había llegado al interior del diente, donde se encuentran las terminaciones nerviosas.
El dentista te examinará atentamente la dentadura y te realice los exámenes auxiliares, como toma de placa radiográfica.
Determinando así, un adecuado diagnóstico, y se procederá a la realización del plan de tratamiento.
Si descubre una caries, la reparará primero, eliminando la parte de la lesión cariosa del diente, con el instrumental adecuado.
Después se rellenará el hueco del diente con un material especial, llamado composit o resina, ionomero u amalgama.
¿Duele? A veces sí, pero el dentista puede ponerte anestesia.
Es un tipo de medicamento que "duerme", o deja insensible, el área que rodea al diente afectado por la caries para que el dentista te lo pueda empastar sin que tú experimentes dolor.
Aunque las caries dentales tienen tratamiento, intenta evitarlas cuidándote los dientes.
Aquí tienes cómo lo puedes hacer:




No hay comentarios:
Publicar un comentario